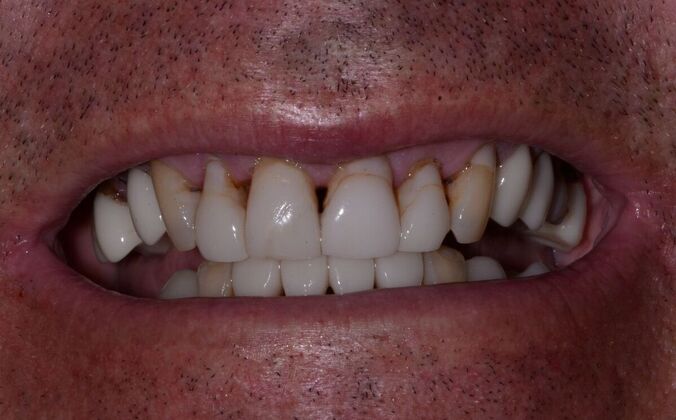
Malformed Smile & Missing Teeth: Permanently Fixed Implant Retained Prosthesis
Description
Business owner from Fort Mill, SC struggled with missing teeth, failed restorations and decay. Restoration began with a Permanently Fixed Implant Retained Prosthesis.




