Dental Crowns Charlotte
Strong, Beautiful Restorations
in Just One Visit
- CEREC® Crowns Made in One Visit
- Comprehensive Expertise Under One Roof
- Custom Restorations That Blend Seamlessly

A Better Crown Experience
Technology That Saves You Time
Your dentist in Charlotte, NC, can use the modern CEREC system to scan, design, and craft a dental crown while you wait. This eliminates messy impressions, temporary crowns, and long waits, making treatment more efficient without compromising quality.
Expertise That Delivers Results
With more than 25 years of restorative experience and a passion for ongoing education, our team knows how to protect and preserve teeth with crowns that last. We tailor each treatment plan to your needs and complete every stage in-office.
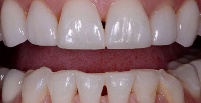
Restorations That Feel Like Natural Teeth
Our dental crowns are designed to restore your bite and blend seamlessly with surrounding teeth. No matter your reason for restoring a tooth, our focus is creating results that’s fully functional and a seamless blend with the rest of your smile.
Restore Your Smile
Without the Wait
“My crown was fixed in one day! No temporary cast for two weeks! So happy I made the move to the Porter Dental Group!”
— Dina B., 5-Star Review

Meet Your Crown Specialists Custom Restorations From a Skilled Charlotte Team

Charles A. Porter III, DDS
Dr. Charles Porter has been providing restorative care for decades, continually advancing his training through renowned institutions like Spear. He takes pride in helping patients rebuild confidence and function with life-changing dental crowns treatment.

Robert E. Porter, DDS
Dr. Robert Porter is fluent in both English and Spanish, making crown care more accessible to our diverse Charlotte community. His practice emphasizes prevention and precision, digital planning, and restorative technology to deliver trustworthy results.

Rebecca P. Wilson, DDS
Dr. Rebecca Wilson brings a fresh perspective and advanced training in digital dentistry, especially as it relates to dental crowns. As a Charlotte native, she’s proud to help local families access modern, convenient treatment options for damaged teeth.
Creating Smiles Throughout Charlotte “Everyone is friendly and helpful."
Dr. Porter is the absolute best! I have been a patient for a long time and have referred many people to his practice. Always happy to see Lori and Mitzi! Thank you for your wonderful service!
View On GoogleThe entire staff is great, including Dr. Charles Porter. I’ve had to be worked in a couple of times now and they get me back promptly and everyone is friendly and helpful. I’ve never been this comfortable at a dental practice before!
View On Google
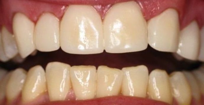
Dental Crowns Provide Important Health Protection
The decay and damage that makes a dental crown necessary also expose you to some serious health risks. Left untreated, these issues can increase your risk of infection and gum disease.
While already problematic on their own, infections and gum disease can actually spiral and harm your entire well-being. They put you at an elevated risk of diabetes, heart conditions, respiratory issues, and more. A dental crown acts as an important safeguard against these dangerous developments.
You Have Many Options When Replacing a Damaged or Missing Tooth
During your consultation, one of our dentists will recommend the best restoration that will meet your needs.
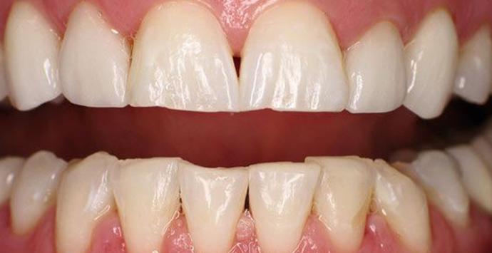
Dental Crown
A dental crown can cover a severely damaged tooth and protect it from further damage or decay. Dental crowns look and act like your natural tooth so they can even be used on your front teeth to give you a functioning, uniform smile. If you have a missing tooth or a tooth that needs extracting, you can discuss your candidacy with one of our dentists to see if you are a good fit for an implant-supported dental crown.
Dental Implants
Dental implants are titanium posts that are surgically inserted into your jawbone to mimic a natural tooth's root structure. Once placed, they provide a sturdy base for a dental crown or dental bridge to be permanently secured. Dental implants provide greater stability and protect against jawbone atrophy.
Dental Bridge
Dental bridges can replace a single missing tooth or a few missing teeth when a gap is surrounded by healthy teeth. For a few missing teeth in a row, an implant-supported dental bridge is almost always recommended. Our dentists also offer Prettau® Zirconia bridges, which are unparalleled in quality.
We Can Determine Which Option Is Right for You
Our team is known for personalized, comprehensive dentistry. This means that we take great care to understand your needs and offer a suite of dentistry solutions. Being unsure which option is right for you is nothing to worry about. We will evaluate your teeth and help you make a choice that you have true confidence in. To receive our help, simply call or write to us.
Why Not Just Pull the Tooth?
This is a very common question. Patients are often under the impression that getting rid of their damaged tooth is simpler than receiving a dental crown. It is very important to understand that it is always best to save a natural tooth whenever possible.
Just one missing natural tooth can lead to a host of serious issues. Prominent examples include jawbone recession, shifting teeth, and an aged appearance. These problems would then necessitate costly and extensive treatments to resolve – treatments that are far more complex than a dental crown.
Quality Dental Crowns From Dentists Who Stand Behind Their Work Contact Porter Dental Group Today
Whichever type of dental crown or bridge you choose, our dentists always use the highest quality porcelain and other materials to provide the best possible outcome. During each aspect of your treatment, they ensure the greatest attention to detail to create a long-lasting restoration that is comfortable and fits precisely. With a dedication to excellence, our entire team in Charlotte, NC, stands by our work.
Contact our Charlotte-based practice to see how quality dental work can restore your oral health and enhance your smile.

We Make Charlotte Smile "Excellent service each time!"
Excellent experience and very thorough examination. Dr explained my teeth problems to me very well.
I’ll definitely refer friends and family.
I chipped a tooth while visiting from out of state, and Porter Dental Group squeezed me in right away to repair it. Dr. Bobby and Liz were absolutely amazing. I was extremely nervous, but they were kind, patient, gentle, and informative and made sure I had no pain and that I loved my smile at the end. Highly recommend!
View On GoogleA New Smile in One Day How CEREC Advances Dentistry
CEREC (Chairside Economical Restoration of Esthetic Ceramics) is a system that uses computer-aided design and manufacturing (CAD/CAM) technology to create custom dental restorations. In some special cases, a permanent crown or bridge cannot be created using CEREC. In these situations, we work with a trusted dental lab that will create your restoration to the highest standards using powerful porcelain or other premium materials.
Quick
Traditionally, patients have had to schedule multiple appointments to receive a dental crown or bridge. Thanks to Dr. Charles and Robert Porter's investment in a CEREC machine at our Charlotte practice, we are able to provide our patients with convenient restorations that can be completed in a single appointment.
Advanced
CEREC is equipped with advanced imaging, which allows for enhanced diagnostic and planning precision. This means the system can both design and fabricate your restoration in our office with the utmost accuracy.
Quality
This technology allows you to receive your restoration faster, without sacrificing quality, and without the need for a temporary crown. Using a block of dental-grade porcelain, the machine will craft a lifelike restoration designed to your specifications. Once your dental restoration is placed, you will not be able to distinguish it from your surrounding natural teeth.
Receiving Your Crown or Bridge
Your dental crown or bridge may be completed in one or two appointments.
Both our dentists are dedicated to achieving the very best results.
Patient-Centered Dentistry “I cannot recommend them highly enough”
Dr Porter and staff were friendly, helpful and very accommodating. My issues were addressed and recommendations made for further treatment. A highly professional environment I can endorse for anyone looking for good dental care.
View On GoogleI highly Porter Dental Group! I have major dental fear, but every person I encountered in this practice was super kind, compassionate, and understanding. I cannot recommend them highly enough. Don’t put it off, call today for an appointment. I sure am glad I did.
View On GoogleAnswering Your Dental Questions Since 1992 Contact Us to Learn More About Dental Crowns
In addition to our great dental service and quality care, we focus on educating patients so they understand their procedure from start to finish. We want to provide as much information as possible so you can make an informed decision on which treatments best fit your needs and lifestyle. Drs. Charles and Robert Porter are happy to answer your questions during a consultation at our Charlotte practice.
Reach out to our staff about dental crowns by calling our office.
Our Patient Education Is Truly Empowering
/
Our commitment to patient education goes beyond teaching about procedures. Many of the issues that made a crown necessary can be avoided through preventative oral health care.
We strive to empower Charlotte to take care of their teeth and avoid further dental interventions. This saves our patients money and time while enhancing their day-to-day quality of life.









