Cosmetic Dentistry Charlotte, NC
Reveal a Stunning Smile
- 300+ 5-star Google reviews
- Invisalign® treatment from experienced providers
- Smile preview with digital scans and 3D mockups
- Welcoming new patients in Charlotte, NC
Amazing Results
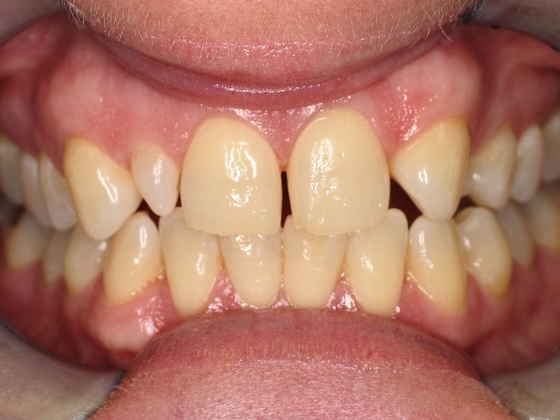
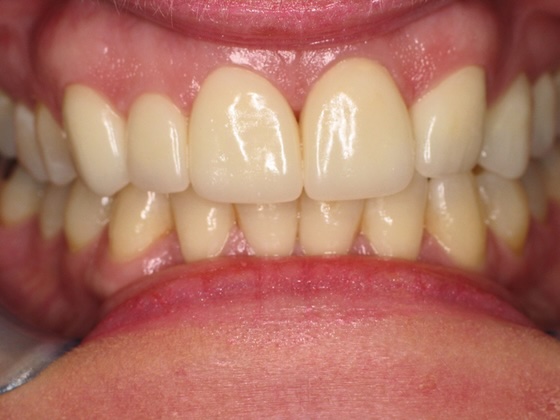
What began as an uneven smile is now a work of symmetry and beauty. After receiving custom-crafted porcelain veneers at our Charlotte dental office, this patient walked away with a smile that looks natural and entirely their own. Every veneer we place is shaped with precision and matched with great care, giving you a result that’s both striking and seamless.
Your Ideal Smile Is Within Reach

Our founding dentist, Dr. Charles Porter, has been providing Charlotte with quality dentistry since 1992.
Feeling self-conscious about your smile can significantly impact your quality of life. There's no reason to delay cosmetic dentistry treatment any longer.
Dr. Charles Porter, Dr. Robert Porter, and Dr. Rebecca Wilson believe every dental patient deserves a smile they can feel confident in. Our dentists are passionate about providing high-quality dental care that is tailored to your goals. They accept financing through CareCredit® to make cosmetic dentistry more affordable at our Charlotte, NC, practice. With over four decades of combined experience, our dentists have refined their techniques to yield the most flattering results. Request a consultation today!
The Word Is Out Our Practice Takes Smiles Higher
"I would highly recommend him to anyone in need of cosmetic dentistry. He is the best!" — Tina, 5-Star Review
Incredible Enhancement Through Subtle Treatment
Perfection Fits Your Budget When You Choose Our Dentists
Since insurance does not typically cover cosmetic dentistry, many patients are worried that it is a luxury they cannot afford. However, that is not the case. Several financing options can be applied to your treatment to reduce your overall out-of-pocket cost. In addition to CareCredit, we also offer in-house financing. Porter Dental Group can also tailor treatment to suit your budget, from more cost-effective materials to an alternative procedure.
Take It From Our Patients
"If you’re looking for a dentist who truly cares about their patients, I highly recommend Porter Dental!" – Talicia, 5-Star Review
Your Smile Must Be Healthy Before You Can Undergo Cosmetic Care
Before cosmetic treatment, you need to be in good oral health with no gum disease or cavities. Dr. Charles Porter, Dr. Rebecca Wilson, and Dr. Robert Porter can fix any dental issues prior to cosmetic treatment, so that your new smile is both beautiful and healthy. Our dentists will evaluate your oral health during your consultation and recommend the best treatment plan for you.
While cosmetic dentistry enhances the appearance of teeth, general dentistry and restorative dentistry focus on repairing and maintaining oral health. Patients seeking cosmetic care often only need minor treatments such as fillings or periodontal care, but if needed, our dentists can provide a comprehensive range of treatments to prepare your smile for a cosmetic upgrade.
Comprehensive Cosmetic Treatment at Our Charlotte, NC, Practice
Struggling With Multiple Concerns? Request a Smile Makeover Consultation
Sometimes combining multiple dentistry procedures is the best way to achieve your dream smile. Our dentists can evaluate your smile and the goals you have for it to develop a customized smile makeover plan during a consultation at our Charlotte office. Call or contact us online to get started on your new smile:
(704) 364-9000
“So beautiful.”
"Dr. Porter just hooked it up with a whole new front bottom tooth and it looks sooooooooooo beautiful. I’m so pleased. The office is very punctual. My appointment was at 2 and the dentist was there at 2. They always remember who I am and what I do. Affordable. Fancy nice office." — Liz, 5-Star Review
High-Tech Cosmetic Dentistry
Detailed Design, Enhanced Precision, & Full Customization

Advanced Teeth Whitening
For in-office whitening treatments, a special light is used by our cosmetic dentists to activate and expedite the bleaching process. You can brighten your smile by several shades in a single visit to our Charlotte, NC, office.

Cone Beam CT Scanners
In cosmetic dentistry, cone beam scanners offer invaluable 3D imaging, enabling our Charlotte dentists to meticulously plan and execute aesthetic procedures with exceptional precision and quality.

iTero Digital Scanner
The iTero digital scanner plays a crucial role at our Charlotte practice by providing precise, non-invasive impressions that help create customized, beautiful smiles for patients.

CEREC
With an in-office CEREC machine, our dentists can design and fabricate lifelike porcelain veneers, dental crowns, and bridges in just one visit.

Dental Lasers
Dental lasers have transformed many treatments, such as gum reshaping and tooth recontouring, by allowing cosmetic dentists to increase precision and reduce discomfort.
Ready to Transform Your Life With Dentistry? Contact Us Today to Learn More
When designing the perfect smile, our dentists take more than just your teeth into consideration. They'll view your facial structure, lips, and features at rest, so your new smile looks beautiful and natural from every angle.
Wondering what cosmetic dentistry in Charlotte can do for your smile? Contact Porter Dental Group today for a consultation. During your appointment, one of our dentists will learn more about you, your smile goals, and your budget. Together, you'll design a treatment plan customized just for you.
Send us an online message or call us today:
"Absolutely fantastic dental office. Dr. Porter is excellent and 100% committed to giving his patients the highest possible care. Everyone in the office is attentive, friendly, and the best at what they do. I have been a satisfied routine patient for years but a recent accident showed just how skilled and accommodating Dr. Porter and his team are in getting my repair work done. I wouldn't go anywhere else!"
–Robert Phillips, 5-Star Google Review
Cosmetic Dentistry FAQ
We want you to make an informed decision about your care, which is why we plan to take as much time as you need explaining your options and helping you understand what's possible through treatment. To help you prepare for your consultation, we have provided answers to some of the most frequently asked questions about cosmetic dentistry:

What’s the difference between cosmetic and restorative treatments?
Cosmetic treatments are all about helping your smile look its best. Restorative treatments, on the other hand, fix oral health concerns like cavities or infections. Some treatments, like crowns, can do both.
How long can I expect my veneers to last?
With a little care and attention, veneers can keep your smile looking amazing for over a decade. Try to avoid habits like nail biting or grinding your teeth to help them last even longer.
Will my veneers stain over time?
Porcelain veneers are made to resist stains from things like coffee, wine, or berries. But your natural teeth can become stained. To keep your entire smile looking a uniform shade of white, be mindful of enjoying dark-pigmented foods and drinks, and consider periodic whitening.
How long will my whitening results last?
Most patients see beautiful results for about a year. How long your results last depends on things like your diet, how often you brush and floss, and whether you’re keeping up with regular cleanings.
Will whitening work on veneers or crowns?
Teeth whitening is great for natural teeth, but it won’t change the color of crowns, veneers, or other restorations. That said, it can help bring back their original brightness if they’ve dulled a bit.
Is cosmetic dentistry only about looks and confidence?
Looks and confidence matter, but cosmetic dentistry can actually provide other important benefits. Scientists say smiling can lift your mood, lower stress, and even boost your immune system. Let us help you look better, feel better, and live better!

Why Patients Love Us
"Amazing service. They treat you like family here!!" — Jonathan, 5-Star Review



















